Fallbeispiel: OP-Wunde nach Abszessspaltung
Nach der operativen Behandlung eines Abszesses bleibt am Oberschenkel einer jungen Frau eine große, tiefe Wunde zurück. Die 33-Jährige muss bis zur Wundheilung ihre sportlichen Hobbys aufgeben. Erfahren Sie im Fallbeispiel, wie diese Wunde gereinigt und versorgt wurde, um ein möglichst komplikationsloses Abheilen zu ermöglichen, damit die Patientin schnell wieder ihrem normalen Alltag nachgehen kann.
Lesedauer: ca. 5 Minuten
Geschlecht
weiblich
Alter
33 Jahre
Wundursache
Abszessspaltung
Diabetes mellitus
ja
Weitere Risikofaktoren
Adipositas
Lokalisation der Wunde
Oberschenkel rechts medial
Wundart
chronisch
Wundgrund
subkutanes Fett, Biofilm, Fibrin, Granulationsgewebe
Wundrand
intakt
Exsudation
stark, klar, serös, geruchlos
Ausgangssituation
Kürzlich bemerkte Frau K. einen Abszess an ihrem rechten Oberschenkel. Ihr Hausarzt wies sie daraufhin ins Krankenhaus ein, um dort eine Abszessspaltung vornehmen zu lassen. Zeitnah nach dem Eingriff wurde sie aus dem Krankenhaus entlassen und stellt sich nun in der Arztpraxis vor, um ihre Wunde versorgen zu lassen.
Anamnese
Diagnose
Der Wundverlauf auf einen Blick
Wundversorgung und Heilungsverlauf
Die vorgefundene Wunde ist anfangs 14,4 cm lang, 5,2 cm breit und bis zu 6 cm tief (Foto 1). Bei 11 Uhr findet sich eine Unterminierung von 3,4 cm Länge und 2,3 cm Breite. Es sind viel subkutanes Fettgewebe sowie Granulationsgewebe zu erkennen, das mit Biofilm und Fibrin belegt ist. Der Wundrand und die Umgebungshaut sind intakt und unauffällig. Die Wunde exsudiert zu Beginn stark.
Die Schmerzen (VAS 0-2 in Ruhe und bis zu 4 beim Verbandwechsel) kann Frau K. gut aushalten. Im Krankenhaus erhielt sie zur Schmerztherapie noch zweimal täglich 800 mg Ibuprofen. Allerdings konnte sie die Tabletten inzwischen absetzen.
Wundversorgung:
- Mechanisches Débridement mittels steriler Kompressen
- Spülung mit einem Antiseptikum
- Aufgrund einer kritischen Kolonisation wird die Wunde mit einer PHMB-haltigen Salbe behandelt und mit einer Hydrofaser locker ausgelegt
- Darüber Fixierung eines Superabsorbers mit einer Fixierfolie
- Verbandwechsel alle 2 Tage
- Frau K. soll in nächster Zeit nicht duschen oder baden und ihre sportlichen Aktivitäten noch nicht wieder aufnehmen
Nach 4 Wochen zeigt sich ein deutliches Fortschreiten der Wundheilung (Foto 2). Die Wunde ist noch 7,8 cm lang, 3,4 cm breit und bis zu 5 cm tief. Auch die Unterminierung hat sich deutlich verkleinert und ist noch 1,5 x 1,2 cm groß. Am Wundgrund ist Granulationsgewebe mit leichtem Biofilmbelag erkennbar und am Wundrand zeigt sich bereits Epithelisierung. Die Exsudation hat etwas nachgelassen und ist weiterhin klar, serös und geruchlos. Schmerzen gibt Frau K. kaum noch an (max. VAS 2 beim Verbandwechsel).
Wundversorgung:
- Unveränderte Versorgung
- Verbandwechselintervall wird auf 3 Tage verlängert
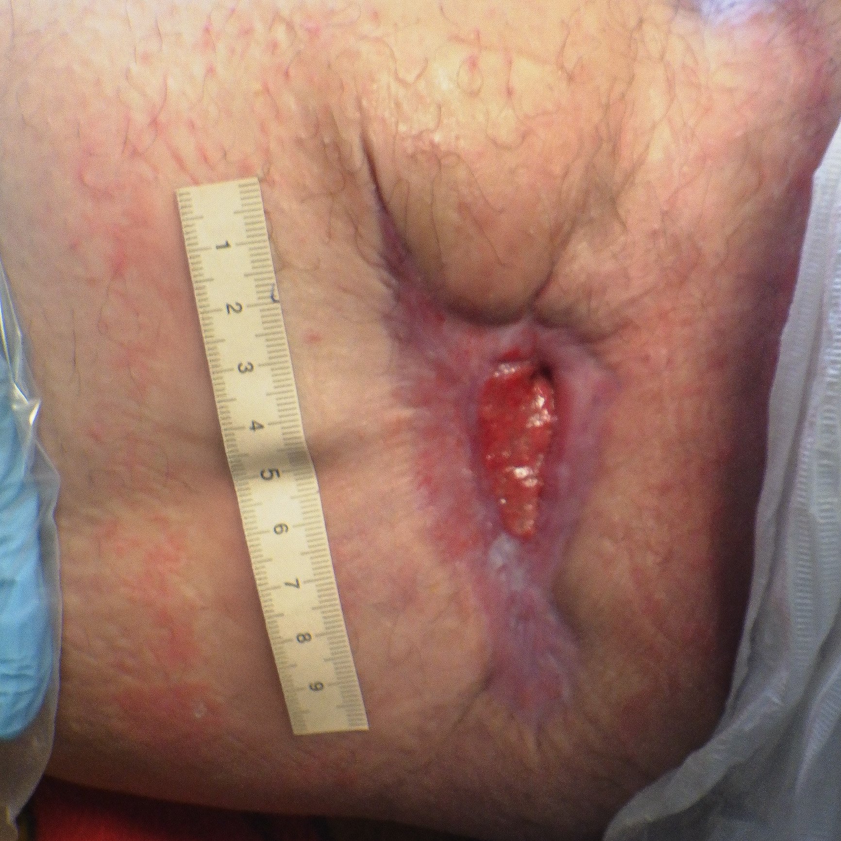
Nach einem weiteren Monat ist die Wunde noch 3,4 cm lang und 1,9 cm breit (Foto 3). Die Unterminierung ist weiterhin vorhanden, aber deutlich verkleinert. Bei 11:00 Uhr ist in der sonst oberflächlichen Wunde eine tiefere Stelle (2,8 cm Tiefe) erkennbar. Am Wundgrund zeigt sich weiter Granulationsgewebe mit etwas Biofilm. Zudem schreitet die Epithelisierung fort. Im Narbengewebe sind kleine Einziehungen zu erkennen. Die Exsudation ist weiter vorhanden, hat jedoch abgenommen.
Wundversorgung:
- Wundreinigung mit steriler Kompresse
- Gründliche Pflege der Umgebungshaut mit einer feuchten Kompresse, um Rückstände von Exsudat und Hautschuppen zu entfernen
- Danach weiterhin Versorgung mit einem Wundfüller aus Hydrofaser, Superabsorber und Fixierfolie
- Verbandwechsel alle 3 Tage
Diese DRACO® Produkte hätten im Fallbeispiel zum Einsatz kommen können
Ungefähr 4 Wochen später ist die Wunde noch 0,5 cm lang und 0,3 cm breit (Foto 4). Am Wundrand und der Wundumgebung sind viel Epithel- und Narbengewebe erkennbar und das Granulationsgewebe am Wundgrund ist nicht mehr mit Biofilm belegt. Die Exsudation hat abgenommen und ist nur noch schwach.
Wundversorgung:
- Wundreinigung mit Ringerlösung
- Gründliche Reinigung und Pflege der Wundumgebung
- Wundfüller aus Hydrofaser
- Abdeckung der Wunde mit einem PU-Schaum mit Haftrand
- Verbandwechsel alle 4 Tage
- Sollte sich der Haftrand lösen, soll Frau K. die noch vorhandene Fixierfolie nutzen
3 Wochen später ist die Wunde schließlich abgeheilt (Foto 5). Es ist in der Wundumgebung noch eine Rötung erkennbar, die die Folge einer etwas gespannten Fixierfolie ist, die Zug auf das Gewebe ausübte. Da die Wunde nun nicht mehr versorgt werden muss, kann Frau K. die gereizte Stelle mit einer Creme zur Hautpflege eincremen.
Abschließend wird sie noch dazu beraten, auf eine gründliche Hautreinigung im Bereich der Beine zu achten, um dem Entstehen weiterer Abszesse möglichst gut vorzubeugen. Frau K. freut sich sehr darauf, ihre sportlichen Aktivitäten nun wieder aufnehmen zu können und wieder duschen zu dürfen.
Bitte beachten Sie, dass es sich hier um ein konkretes Fallbeispiel handelt, das nur eine mögliche Behandlungsoption darstellt. Beachten Sie zudem, dass wir nicht gewährleisten können, dass in den von uns dargestellten Fallbeispielen ausschließlich Produkte von DRACO® zur Anwendung gekommen sind.
Jetzt neu: Fallbeispiel-Videos jederzeit auf Abruf
Sie haben ein Fallbeispiel-Online-Seminar verpasst? Kein Problem: mit DRACO WUNDE+ gibt es jetzt alle Seminar-Aufzeichnungen unserer Fallbeispiele auf Abruf.
Zu den Videos