Deutscher Wundkongress 2023: Biofilm erkennen

Deutscher Wundkongress 2023: Biofilm erkennen

Die Draco-Wundexpertinnen haben für Sie den Deutschen Wundkongress in Bremen besucht und Fachinformationen eingesammelt: Was weist bei chronischen Wunden auf einen Biofilm hin?

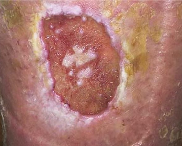
Etwa 78 Prozent aller chronischen Wunden sind mit einem sogenannten Biofilm besiedelt. Vereinfacht gesagt, handelt es sich dabei meist um eine Ansammlung verschiedener Bakterien und Pilze. Gemeinsam sind sie in der Lage, eine Art Schleimschicht aufzubauen, Matrix genannt, die im Wesentlichen aus Wasser sowie extrazellulären polymeren Substanzen (z. B. Zucker, Proteinen) besteht und die Erreger schützt. Sie vermehren sich im Biofilm schnell und können sich von hier aus ins Gewebe ausbreiten.

Bei der Versorgung chronischer Wunden sollten Sie einem eventuell bereits vorhandenen Biofilm große Aufmerksamkeit schenken, da er Entzündungsreaktionen fördern und die Wundheilung erheblich beeinträchtigen kann. Allerdings ist er im Anfangsstadium mit bloßem Auge noch nicht zu erkennen. Das war auch ein Thema auf dem Deutschen Wundkongress 2023. 

Indikationen und Hinweise auf einen vorhandenen Biofilm

  • Die Wunde spricht auf eine adäquate antibiotische Therapie nicht an. 
  • Eine lokale antiseptische Therapie zeigt nicht die gewünschte Wirkung. 
  • Nach Beendigung der Antibiose kommt es erneut zu einer Heilungsverzögerung. 
  • Insgesamt ist die Wundheilung gestört, trotz optimaler Therapie. 
  • Die Exsudatmengen sind erhöht. 
  • Die umliegende Haut ist gerötet (Erythem). 
  • Teilweise sind lokale Infektionszeichen sichtbar. 
  • Es liegt eine chronische Entzündung vor. 
  • Die Granulation verläuft unzureichend. 
  • Pathogene Keime lassen sich im Abstrich nachweisen – das ist aber nicht immer der Fall. 
  • Eine gelartige Schicht ist an der Wunde sichtbar.
Deutscher Wundkongress 2023: Biofilm erkennen
Die Autorin Dr. Christine von Reibnitz
Dr. Christine von Reibnitz, Referentin Gesundheitspolitik und Krankenkassenmanagement

Dr. von Reibnitz ist promovierte Gesundheitswissenschaftlerin und Hochschuldozentin im Bereich des Gesundheitsmanagement. Seit 2013 ist sie bei Dr. Ausbüttel zuständig für den Bereich Krankenkassenmanagement und Expertin für die Themen Abrechnung und Recht.